入れ歯(義歯)
false-teeth患者さまの要望、生活スタイルに合った入れ歯(義歯)をご提供させて頂きます

-
入れ歯(義歯)の質はそのまま「日々の生活の質」に直結します、お困りの事があればぜひご相談ください。
顎位、咬合、解剖など様々な要素が絡み合う入れ歯制作は、その構造設計や歯科医師の力量が如実に反映される治療分野でもあります。歯の残存状態や顎堤の形態は人それぞれで異なり、重要視される機能や設計は、患者様のライフステージによっても異なります。当院では補綴経験豊富な歯科医師による十分なカウンセリングと、国内トップクラスの補綴歯科技工士との連携により様々なケースに対応しています。
入れ歯(義歯)とは
歯を失ったときの選択肢には、義歯(入れ歯)、ブリッジ、インプラントなどがあります。失った歯を人口の歯で補う方法の一つが「入れ歯(義歯)」です。「デンチャー」と呼ばれる場合もあります。健康保険適用の義歯と健康保険適用外の自費の2種類があます。また、入れ歯(義歯)の種類は大きく分けて部分入れ歯(部分義歯)と総入れ歯(総義歯)に分けられます。部分的に歯を失った場合は部分入れ歯(部分義歯)、すべての歯を失った場合は総入れ歯(総義歯)にて補います。
入れ歯(義歯)の歯は、失った歯の代わりとして使用する取り外し可能な機器で、セラミックまたはアクリル樹脂で出来ています。
1.総入れ歯(総義歯)とは
総入れ歯(総義歯)はフルデンチャーとも呼ばれており、上下顎、あるいは上顎・下顎どちらかのすべての歯を失った場合に行う治療です。
総入れ歯(総義歯)は、歯の代わりとなる人工歯と、粘膜の上に乗る土台は歯ぐきに見えるようなアクリル樹脂製の土台、床(義歯床)から構成されています。総入れ歯と粘膜の吸着力で維持させます。
また、歯を全て失った場合には、全てインプラントを行う場合もありますが、入れ歯(義歯)を併用する場合もあります。
2.部分入れ歯(部分義歯)とは
部分入れ歯とは、1本~数本の歯を失った部分に抜歯後の粘膜に人工歯のついた床(義歯床)を乗せて支え、残った歯に「バネ(クラスプ)」や「入れ歯の沈み込みを防ぐ装置(レスト)」をかけて維持安定させる方法です。残っている歯が1本でも可能です。きちんとバランスのとれた設計をして治療を行えば食べ物をしっかり噛むことや飲み込むことが出来き、長期に維持できる治療法です。
また、部分入れ歯(部分義歯)には、インプラントを併用する治療もあります。
保険適用の入れ歯(義歯)と保険適用外の入れ歯(義歯)の違い
歯を失ったときの治療法に義歯(入れ歯)選択した場合も、保険診療で受けるか、保険外の自由(自費)診療で受けるかを選択しなければなりません。
保険適用の入れ歯(義歯)と保険適用外の入れ歯(義歯)の素材の違い
保険適用の入れ歯(義歯)は、アクリルレジンというプラスチックの樹脂です。また、部分入れ歯(部分義歯)のバネの部分(クラスプ)が金属なので、笑った際など金属が見えてしまうことがあります。人工歯の色やかたちは限られます。
保険適用外の入れ歯(義歯)は、保険適用では選択出来ない材料を使用することが出来ます。総入れ歯(総義歯)の床(義歯床)が保険適用ではアクリルレジンですが、金属やシリコンなどを使用出来ます。人工歯は、選択出来る色やかたちの種類は多く、元の歯に合った歯を作ることが可能です。
保険適用の入れ歯(義歯)のメリット
- 経済的である。作り直す際の経済的負担も軽く済む
- 治療期間が比較的短いので通院期間が短い
- プラスチックなので修理しやすい
保険適用の入れ歯(義歯)のデメリット(保険適用外の入れ歯(義歯)と比較)
- 耐久性が低く劣化が比較的早い
- 床(義歯床)が厚くなるので違和感や不快感を覚えることがある
- 熱伝導率が劣るので、熱い冷たいなどの食べ物の温度を感じにくく、食べ物を口に入れた際に感じる食品の質感なども感じにくい為食事のおいしさを感じにくい
- 素材に制限があり設計の自由度が少ない
保険適用外の入れ歯(義歯)のメリット
- 使用する材料を厳選することで、違和感や不快感のないなど装着感を向上させることが出来る
- プラスチックに比べ床(義歯床)を薄く作ることが出来、熱伝導率が良いので、食事の温度も上手く伝わり食感も感じることができるのでよりおいしく食べられる
- 使用する素材に制限がなく設計の自由度が高い
- 強度があり耐久性に優れ、長く使用できる
保険適用外の入れ歯(義歯)のデメリット(保険適用の入れ歯(義歯)と比較)
- 治療費が高額になる
- 通院期間が長くなる場合がある
- 修理が難しい場合がある
入れ歯(義歯)治療の流れ
STEP1カウンセリング
● お悩みご要望をお伺いします
● お口の状態を診察、検査します
● 治療内容、費用、治療期間を説明いたします
STEP2型どり、噛み合わせ高さ計測
● 虫歯や歯周病治療など、まず必要な歯の治療を行います。
● お口の中の型をとります
● あごの形や頬の動きの型を採って入れ歯作りの土台となる模型の作成します
● 噛み合わせの位置を決定します。
STEP3歯並び仮合わせ
● 完成前の入れ歯を口に入れて、見た目や痛みの部位、見た目、かみ合わせ、発音のチェック、形、バランス、歯並びなどを考慮しながら人工の歯を確認します。
STEP4入れ歯(義歯)製作
● 調整して患者さまの口に合わせていきます。
● 手入れ・保存方法、日頃の口腔ケアについてご説明します
STEP5噛み合わせ確認、調整
● 何度か調整してお口に馴染む入れ歯に仕上げます。
● 使いながら問題点を確認して噛み合わせや痛い部分を微調整し、しっかり噛めるようにします。
STEP6経過観察・定期検診
● 入れ歯を長持ちさせ、快適に使い続けるために、定期的な検診をお勧めしております。
当院で制作している様々な義歯
総入れ歯(総義歯)
フルデンチャー(Full Dentures)、総義歯、歯が一本もない場合に入れる入れ歯(義歯)のことをいいます
1.レジン床義歯
人工歯、床の素材に制限はありますが、入れ歯(義歯)は顎位と咬合のバランスがしっかりとれていればしっかり咬むことが出来ます。強度を確保する為やや厚みがあります。保険適用でお作りいただけます。
2.各種金属床義歯
強度と耐久性があり長く使用できます。床を薄く作れるので口の中がひろく感じられ、食べ物や飲み物の温度が感じやすくなります。歯の種類や色、床の様々な素材をお選びいただけます。
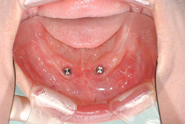
インプラントオーバーデンチャー(IOD)
インプラントオーバーデンチャー(IOD)とは
インプラントオーバーデンチャーとは、総入れ歯を使用中の場合や、全ての歯を失ってしまった場合のように、総入れ歯をインプラントで固定して使用する治療法です。歯が1本もないという方に2~4本程度のインプラントを顎の骨に埋入し、入れ歯(義歯)をインプラントで固定する治療法です。
1.インプラント固定式入れ歯(義歯) 2本
食事中、下アゴの入れ歯が動いて痛い、もっとよく咬めるようにしたい方。たった2本のインプラントで下アゴの入れ歯の動きを抑え安定させる治療で入れ歯はとても快適なものになります。
現在使用中の入れ歯がそのまま使える可能性もあり、費用を抑えたい方や、外科的侵襲を最小限にしたい場合等、多くのメリットがある方法です。
通常の総入れ歯(義歯)
入れ歯(義歯)は粘膜上に乗っているだけの状態
インプラント固定式入れ歯(義歯)
インプラントと入れ歯(義歯)はアタッチメントによりパチッと付き固定されます。患者さん自身で着脱できます。
インプラントオーバーデンチャー、2-IODとも言われています。
治療の流れ
① 前歯部に埋入されたインプラント。この部位は大きな脈管もなく、かなり骨吸収が進んでいてもインプラントの埋入が可能です
② 口腔内に装着されたアタッチメントのメール部
③ 義歯裏側に装着されたアタッチメントフィメール部
④ 口腔内装着時の様子、パチッと付き固定されます
特徴とメリット
- 特に下顎の通常の総義歯においては、顎堤の吸収による咬合力負担領域の狭さ(顎堤の細さ粘膜の薄さ)はもとより、咬んだ時の義歯の水平的な回転が痛みの原因のおおくを占めます。2本のインプラントを活用して、下顎義歯の回転、沈下と浮き上がりをおさえることにより、痛みが出にくくしっかり噛みやすくなります。
- 完全固定式のインプラントブリッジに比べ、インプラントの本数が少ないため、かかるコストや外科的な侵襲が少なくなります。
- 可撤式(着脱式)であるため患者さん自身、もしくは第三者による清掃がしやすい。
- 完全固定式に比べ、一般的に修理や調整が容易であることが多い。
- 高度に顎提吸収が有る場合、完全固定式よりも審美回復や顔貌回復(リップサポート)、発音回復が容易な場合がある
- McGillならびに Yorkの 2つの世界的なコンセンサスにおいても、下顎無歯顎患者の補綴歯科治療には2本のインプラント体支持による IOD を第一選択として用いるべきである”という提言がなされ、その有効性を示すエビデンスも多く蓄積している治療方法です。
2.インプラントオーバーデンチャー(IOD)ハイブリッジタイプ
インプラントの本数を増やして床を廃したタイプのインプラントオーバーデンチャーです。 固定式のインプラントブリッジと異なり患者さんご自身で着脱できます。


4~6本のインプラントに装着されたアタッチメント
(骨の状態等によって本数は変わります
口腔内に装着されたハイブリッジ
このままで歯磨きすることもできますし、外して清掃することもできます。
特徴とメリット
- 床を廃し咬合にかかる力は完全にインプラントが支えるため、義歯の床部分が歯茎に当たって痛むようなことがなくしっかり噛むことができます。使用感としては固定式のブリッジに近くなります。
- 床がないため口腔内が広く感じられます。
- 可撤式(着脱式)であるため患者さん自身、もしくは第三者による清掃がしやすい。
- 完全固定式に比べ、一般的に修理や調整が容易であることが多い。
- 取り外しての清掃はもちろん、外出時などは装着したままでの歯磨きも可能です。
- 着脱にかかる強さは調整できます
部分床義歯(Removable Partial Denture)
部分床義歯とは
残存している歯が有る場合の、欠損部分を補う着脱式の義歯のことを部分床義歯(部分入れ歯)といいます。歯が一本欠損している状態から一本残存している状態まで、口腔内の状態は様々なため、その状態に応じた適切な設計が肝要となります。
当院では保険適用の義歯はもちろん、保険適用外にはなりますが残存歯の保護に有効な2次再連結固定設計や、力学的な問題を劇的に改善するインプラントとのコンビネーション義歯など高度な義歯設計も行っています、既存の義歯にご不満がある方はぜひご相談ください。
1.レジン床部分義歯
保険適用で制作することができます。
強度を確保するためやや厚みがあります。
2.金属床部分義歯
義歯の骨格部分が強靭な金属でできており精度と耐久性に優れます。
フレーム部と鈎がワンピースキャストで制作されており剛性が高い、そのため咬合時にたわみが少なく、かかる力を効率的に分散することができるのが利点です。
イメージとしては義歯が柔らかいほうが痛みが出ないと思いがちですが、実際は義歯床が咬合力でよじれると粘膜面の局所に力が集中しやすく痛みの原因となります。
また、咀嚼時の義歯フレームのたわみは鈎歯(ばねがかかる歯)をゆする原因となるのでフレーム剛性が高いことは鈎歯の負担軽減につながります。
3.特殊金属床部分義歯(2次性連結固定)
残存歯の負担が少なく、口腔内の変化に合わせて修理もしやすい
特徴とメリット
- 着脱式の義歯装着により歯列弓を一体化させます。咀嚼時にかかる力を特定の歯(鈎歯)だけに集中させることなく、分散させるように設計されるため残存歯の保護に有効です。
- 義歯のフレームがほぼすべての歯牙をサポートするため、すでに動揺がある歯を有する場合もそれを保護する効果も期待できます。
- 新たに歯を喪失してしまった場合にも増歯などの修理がしやすく、長く義歯フレームを使用できます。
デメリット
- 設計制作に熟練を要し制作難易度が高く、対応可能な歯科技工士が非常に限られます。
4.特殊金属床部分義歯+インプラント
インプラントが義歯の沈下を抑え、しっかり噛めます。
咀嚼機能が正しく機能するためには上下左右の力学的なバランスが重要となります。
やわらかい粘膜上に乗っている義歯に対して、噛み合う対合歯がしっかりと骨に埋まっている天然歯やインプラントであった場合、義歯は力負けしてしまう場合があります。
義歯床下の要所に抗沈下の為のインプラントを追加することで、最小限のインプラントの本数で力学的なバランスを整え、力強く噛めるようにします。
Q&A よくある質問
Q1.入れ歯(義歯)にするかインプラントにするか迷っています。それぞれのメリットデメリットは何ですか?
A.入れ歯(義歯)に対してのインプラントのメリットはまず固定式であること。
- 粘膜に乗っている入れ歯(義歯)に対して、骨支持のインプラントは強固な咬合の支持(バーチカルストップ)となり顎位をしっかり支えます。長期の咬合の安定に寄与します。
- 固定式であるため天然歯に近い感覚で咀嚼でき、咀嚼力の回復も天然歯の80~90%程度期待することができます。
(客観的な咀嚼試験において、使用上患者さんが満足している総入れ歯(義歯)の咀嚼効率が天然歯の20~30%ともいわれますので、咀嚼力の回復においては固定式のインプラントに分があります) - 固定式であるため就寝時や食後の着脱しての手入れが必要ありません。
- 欠損部のみで処置が完結するため、ブリッジや入れ歯(義歯)のように支えになる歯の負担を心配する必要がありません。
入れ歯(義歯)に対してのインプラントのデメリットは、
- 入れ歯(義歯)は保険適用の範囲があるが、インプラント治療は基本的に自費診療になるため治療費が比較的高額になりやすいこと。
- 入れ歯(義歯)やブリッジに比して治療期間が長期になることがあることや、多少の外科的な処置を必要とすることなどがあげられます。
インプラントに対しての入れ歯(義歯)のメリット、デメリットは逆に考えればいいわけですが、入れ歯(義歯)の咬合支持力を補うための抗沈下インプラントの適用やインプラントオーバーデンチャーなど、 入れ歯(義歯)とインプラントのコンビネーション補綴の選択肢もあり、どういった方法が良いかはまさにケースバイケースです、患者さんそれぞれのご希望やライフステージによっても適した方法は変わってきますので、 十分に担当医と相談したうえで治療方針を決められるとよいと思います。
Q2.入れ歯(義歯)を作るのにどれくらいの期間がかかりますか?
A.入れ歯(義歯)単体ですと通常3~5回くらいの来院で完成します。
鈎歯(土台の歯)の治療や歯周病の治療が必要な場合はその分治療期間が長くなる場合があります。
Q3.入れ歯(義歯)が壊れた場合修理できますか?
A.破損の程度によりますが、多くの場合は修理可能です。
破損の部位によっては即日では修理が不可能な場合もあります。
Q4.自費の入れ歯(義歯)と保険適用の入れ歯(義歯)は何が違いますか?
A.保険適用での製作は使用材料、手技等に制限があります。
保険診療外(自費)での製作の場合その制限がありませんので、保険適用外の素材や設計、手技に自由度があります、一般的により高精度で高機能の入れ歯(義歯)が制作可能となります。
Q5.入れ歯(義歯)はどれくらいの期間使えますか?作る変える必要がありますか?入れ歯(義歯)の寿命を教えてください。
A.設計や素材、使用状況により耐用年数は変わりますので一概に何年とは言えませんが、長期間使用するうちに人口歯は摩耗し、患者さん自身の顎の骨も変化します。 調整や修理で機能回復が困難な状態になれば作り変える必要があります。
Q6.入れ歯(義歯)は周囲の人に気づかれますか?見た目も綺麗にできますか?老けて見えたりしませんか?
A.部分入れ歯(義歯)の場合、欠損の状態によっては入れ歯(義歯)の鈎(バネ)が見えてしまうことはありますがその場合表から鈎が見えない設計や目立たないものを選択することもできます。
顎の骨の吸収が大きい方の場合、入れ歯(義歯)装着によって吸収した組織の厚みを入れ歯(義歯)床で補うことで老人様顔貌の改善に役立ちます。
Q7.寝るとき、歯を磨くとき保管はどうすれば良いですか?
A.就寝時は外して洗浄保存液や水につけての保管をお勧めしています。
歯磨きは入れ歯(義歯)を外して行い、入れ歯(義歯)は入れ歯(義歯)用のブラシでの清掃後、洗浄保存液や水につけて翌朝使用時まで保管をお勧めしています。
Q8.若い人でも入れ歯(義歯)治療できますか?
A.成長期を過ぎていれば可能です。
Q9.入れ歯(義歯)を入れると味が変わりますか?話しづらくなりますか?口腔内が乾きますか?
A.設計や素材により入れ歯(義歯)の厚みが発音に影響する可能性がありますので心配な方は担当医に相談してください。
入れ歯(義歯)を装着することで味覚が変わることは通常ありませんが、食感や食べ物の温度など感じ方は変わる可能性を完全に否定することはできません。心配な方は担当医とよく相談してください。
Q10.今使っている入れ歯(義歯)が合わなくて困っています。他の歯科医院で作った入れ歯(義歯)を作り直しできますか?セカンドオピニオンできますか?
A.もちろん可能です、ご相談ください。
Q11.金属アレルギーなのですが、金属を使わない入れ歯(義歯)はありますか?
A.金属を全く使用しないで制作する入れ歯(義歯)もあります。またアレルギーの原因が特定できていれば、その金属以外の金属で制作することも可能です。
Q12.入れ歯(義歯)は硬いものなどどんなものでも噛めますか?
A.慣れや使いこなしも必要です、入れ歯(義歯)を初めて使用する際はいきなり硬いものではなく徐々に試していただければと思います。天然歯やインプラントなどの固定式の歯に比べると咀嚼力は劣ります。
Q13.入れ歯(義歯)もインプラントも入れない状態をそのまま放置するとどうなりますか?
A.歯列に空隙や噛んでいない部分があると徐々に歯が移動したり、噛んでない歯が挺出する可能性があります。
Q14.入れ歯(義歯)で歯ぐきが痛くならないですか?
A.不適合や過度な負担により歯ぐきが痛くなる場合があります、その際は我慢なさらず担当医に相談してください。
Q15.入れ歯(義歯)が合わないことがありますか?歯ぐきがやせていて出来ないことがあると聞きました。その場合はインプラントしか方法はないのでしょうか?
A.入れ歯(義歯)の安定を考えると条件は悪くなりますが、相当に顎の骨が吸収していても入れ歯(義歯)を制作することは可能です。
一般的にインプラントの方が、骨の吸収が大きいと治療は困難となり、治療難易度が増します。
Q16.入れ歯(義歯)に慣れるのにどれくらいの期間がかかりますか?どんな違和感を感じたとき相談に行けば良いですか?
A.入れ歯(義歯)の大きさや設計、患者さんによって慣れるまでの時間は様々です。痛みがあるときは我慢なさらずすぐに相談いただければと思います。
Q17.部分入れ歯(義歯)で健康な歯に影響はありますか?
A.残存歯に入れ歯(義歯)の支持を求めるので、鈎がかかる歯には負担があります。
まとめ
歯を失う原因は様々です。歯が1本でも欠損している状態は、口腔内全体に大きな悪影響を及ぼします。毎日入れ歯(義歯)を意識せずにおいしい食事をし、自然な口元をつくり会話ができれば気持ちも明るく自信も生まれてきます。入れ歯(義歯)は患者さまの快適で充実した生活を送って頂く為に必要なものです。
今ご使用なさっている入れ歯(義歯)に不満はありませんか。
- 食事が美味しくない
- 見た目が悪い。入れ歯だと気づかれたくない
- 話しづらい
- すぐ外れてしまう
- 入れ歯が合わない。違和感が有る
- 噛むと痛い
- どんな入れ歯(義歯)があるか分からない
入れ歯(義歯)治療は、保険適用と保険適用外の選択肢があります。また、入れ歯(義歯)治療以外にブリッジやインプラントといった選択肢も有ります。
ワイエスデンタルクリニックでは、患者さまに適合した治療を複数の選択肢提示しインフォームドコンセントを実践します。
気になっている事がありましたら、お気軽に当院までご相談下さい。







